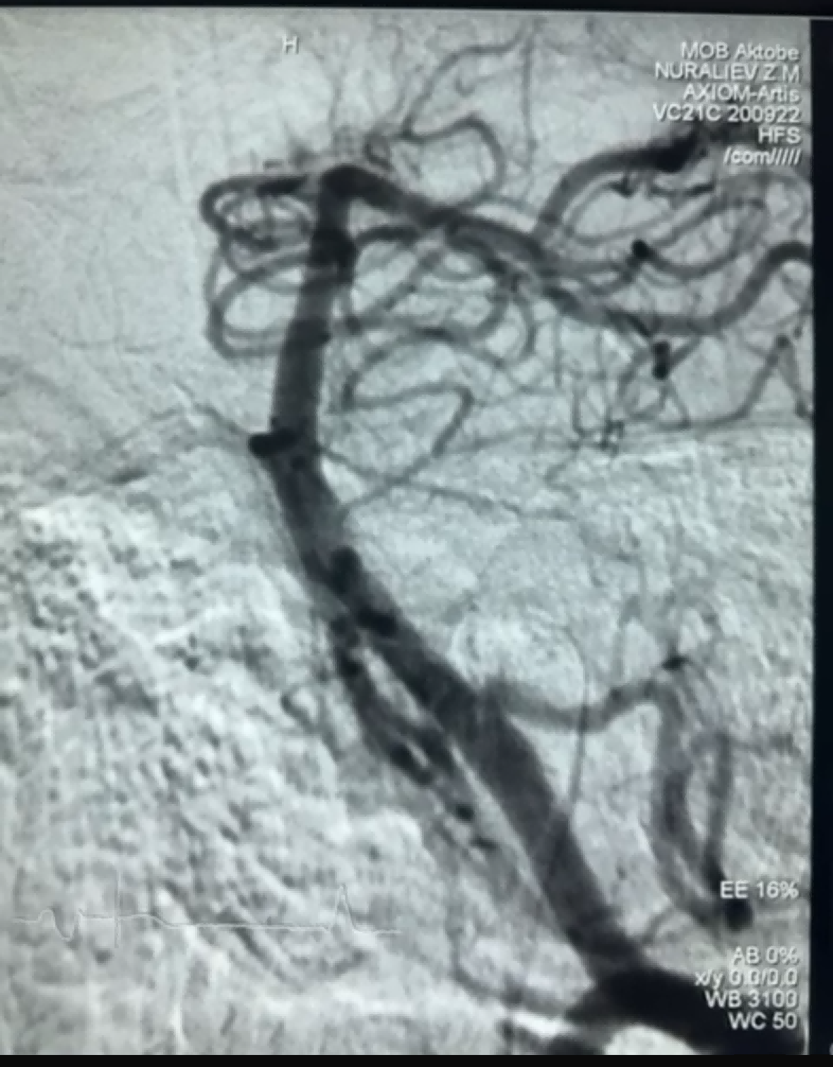
For nylig var der et vellykket trombektomitilfælde med Dredger Stent Retriever fra NeuroSafe Medical Co., Ltd. Dredger Stent Retriever har en ikke-invasiv blød spids, som i høj grad reducerer risikoen for intimal skade, og har et unikt specialformet hul design, der fanger blodpropper hovedsageligt ved at fastspænde mellemrumsændringerne.





